獸醫好想告訴你
首頁
獸醫臨床筆記
皮膚疾病
腫瘤疾病
內分泌疾病
消化道疾病
微生物傳染病
血液與免疫疾病
急診與重症照護
心臟與呼吸道疾病
腎臟與泌尿道疾病
生殖系統與產科疾病
骨關節與神經系統疾病
恐怖故事系列
飼主必須知道的事
狗貓健康必備知識
狗貓生活大小事
飼主該知道的醫學名詞
養狗貓前要先知道的事
PODCAST
關於我
獸醫臨床指引
細胞學圖鑑
實用工具
更多
選單
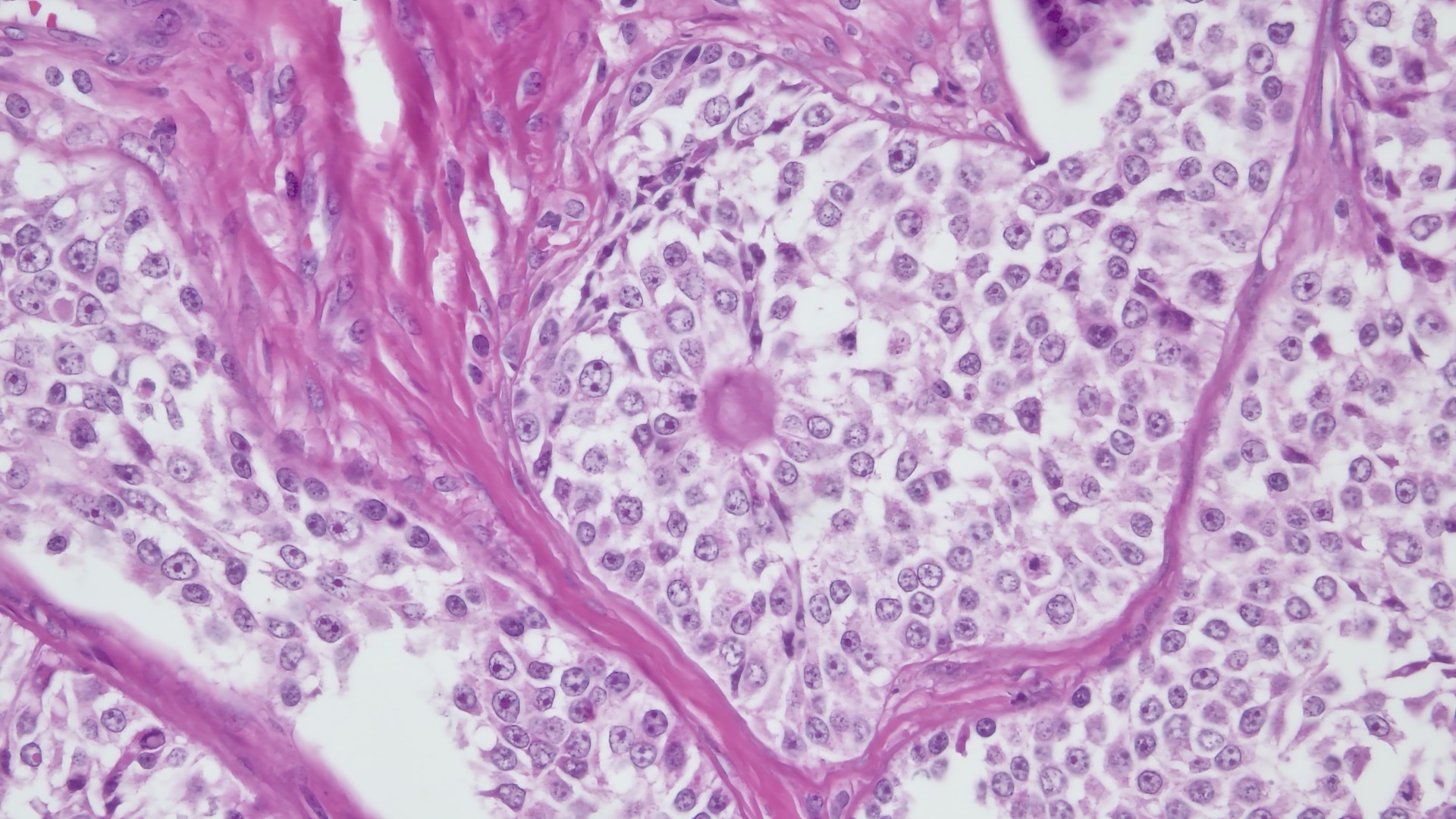
Call Exner body
Dog, Testis; Diff Quik
Dog, Testis, HE
Call-Exner body最早是在1875年時由 Emma Louise Call 和 Sigmund Exner 在正常的兔子卵巢中發現。這結構由一個嗜酸性的中央核心組成,周圍環繞著成排的細胞。Call-Exner body在母狗卵巢的顆粒細胞瘤中比較常發現,但公狗睪丸的Sertoli cell tumor也可能看到。這次就是在公狗隱睪的Sertoli cell tumor發現的!
免費建立您的網站!
此網站是在 Webnode 上建立的。今天開始免費
建立您的個人網站
!
立即開始